Our portfolio
Explore our client success stories

Success stories
Case studies

Full Mouth Rehabilitation in Norwich
Read study
Invisalign with Composite Veneers – A Smarter Way to Improve Your Smile
Read study
Smile Makeover at Taverham Dental, Norwich
Read study
Mercury-Free Composite Fillings for Strong, Natural Smiles in Norwich
Read study
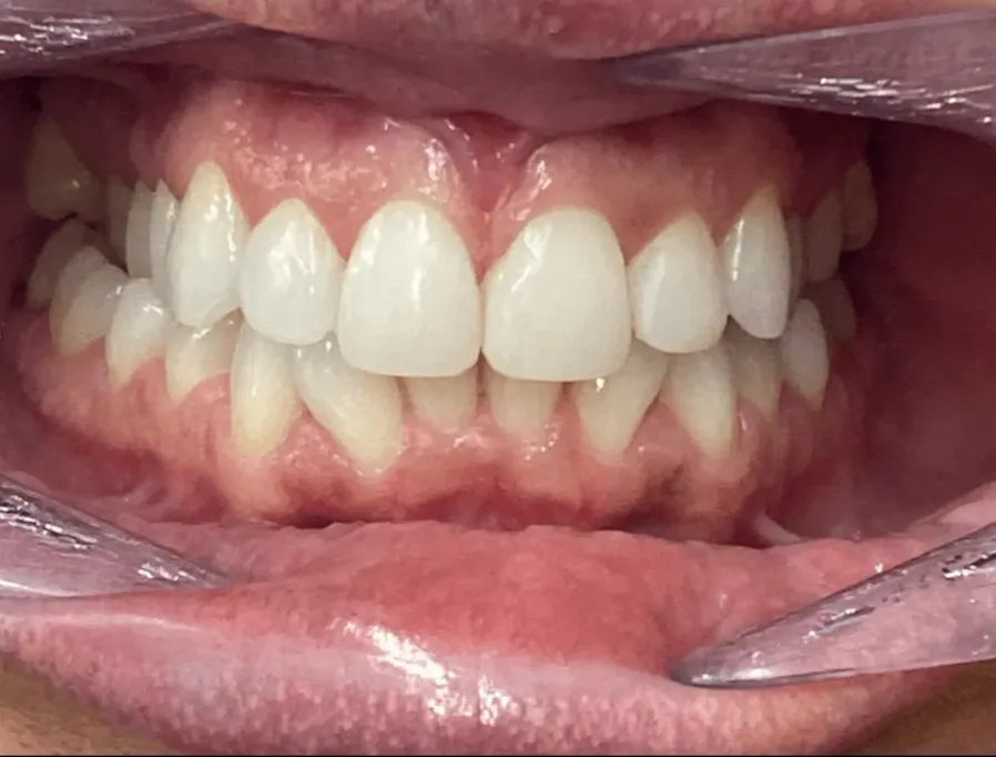
Composite Veneers in Norwich
Read study
Diastema Closure at Taverham Dental, Norwich
Read study
