Success story
Invisalign with Composite Veneers – A Smarter Way to Improve Your Smile
Before

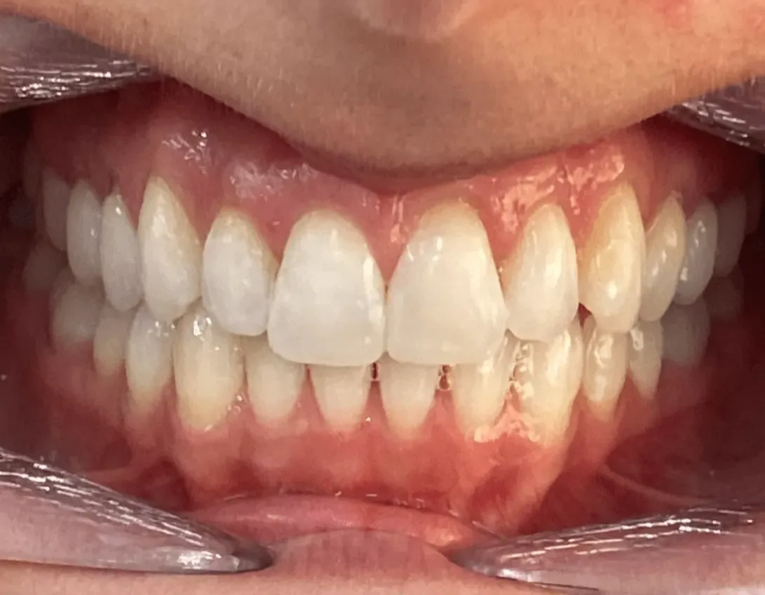
After

The patient sought treatment to correct misaligned teeth and enhance their confidence. They opted for Invisalign clear aligners due to their effectiveness and discreet design. Over a nine-month period, we achieved the desired alignment. Following Invisalign treatment, patients receive both fixed and removable retainers to help maintain results. Once the teeth were aligned, the patient had composite veneers applied to improve shape, colour, and overall appearance. The patient was pleased with the final result, enjoying a straight, natural-looking smile and an improved sense of confidence.
Understanding Invisalign and Composite Veneers
Invisalign uses a series of clear, removable aligners to gently move teeth into the correct position. It is discreet, comfortable, and suitable for adults and teens. Composite veneers are thin, tooth-coloured resin layers applied to the front of the teeth to improve shape, length, or colour. Combining both treatments allows alignment and cosmetic concerns to be addressed efficiently.
How the Process Works
- ✓ Consultation and Assessment: We review bite, alignment, and overall smile goals to decide whether Invisalign, veneers, or a combination is best.
- ✓ Straightening with Invisalign: Clear aligners gradually move teeth over several months. Most patients complete the process in under a year, with regular check-ins.
- ✓ Finishing Touches with Composite Veneers: Once teeth are aligned, veneers can even out shape, close small gaps, or brighten the smile while preserving enamel.
Why Patients in Norwich Choose This Approach
- ✓ Subtle, natural improvements without traditional braces
- ✓ Less invasive alternatives to other cosmetic treatments
- ✓ Quicker and more affordable options compared with porcelain solutions
- ✓ Simple adjustments or repairs if needed
- ✓ A natural-looking, strong smile
Your Smile, Your Confidence
At Taverham Dental, we focus on both function and appearance. We consider how teeth work, bite alignment, and facial harmony to deliver results tailored to the individual. Patients in Norwich, Taverham, and surrounding areas can contact us to start their consultation.
Why Us?
Many people in Norwich and Norfolk want straighter teeth and a more confident smile without long or uncomfortable treatments. Combining Invisalign clear aligners with composite veneers provides a natural, polished finish in a straightforward, minimally invasive way.
Book an Appointment in Norwich
If you are based in Norwich or the surrounding Norfolk area and want straighter and whiter teeth, contact us today to arrange a consultation and find out more.